ГТРК Татарстан
  • Главная
  • ТВ
    • Россия 1
    • Россия 24
    • Проекты
  • О компании
    • О компании
    • История
    • Лица компании
  • Радио
    • Радио Татарстана
  • Перейти на новую версию сайта
ТАТ
Нет результата
Посмотреть все результаты
  • Главная
  • ТВ
    • Россия 1
    • Россия 24
    • Проекты
  • О компании
    • О компании
    • История
    • Лица компании
  • Радио
    • Радио Татарстана
  • Перейти на новую версию сайта
ТАТ
Нет результата
Посмотреть все результаты
ГТРК "Татарстан"
Нет результата
Посмотреть все результаты
ТАТ
Главная Лента новостей

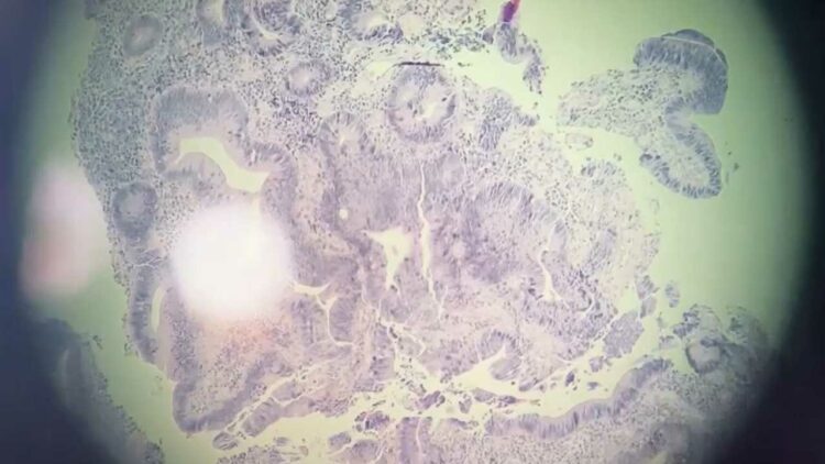
В онкодиспансере Челнов показали, как выглядят раковые клетки

20.01.2023 11:16
в Лента новостей, Общество
В онкодиспансере Челнов показали, как выглядят раковые клетки

В онкодиспансере Набережных Челнов рассказали о работе врачей-морфологов гистологической лаборатории, пишут «Челнинские известия».

Они принимают особое участие в диагностике раковых заболеваний. Под микроскопом врачи-морфологи изучают раковые клетки и исследуют новые технологии.

Так, в Онкодиспансере Набережных Челнов внедрили технологии, которые позволяют получать пациентам иммунотерапию. Ее применяют при немелкоклеточном раке легкого, с раком эндометрия, шейки матки, молочной железы и других видов заболевания.

«Механизм иммунотерапии рака заключается в том, что препарат позволяет иммунитету «увидеть» опухоль и уничтожить её», — заявили в медучреждении.

Нашли опечатку? Выделите фрагмент и отправьте нажатием Ctrl+Enter

banner-dzen

Поделиться новостью:

Теги: Новости Набережных Челнов, онкология, Яндекс.Новости

Лента новостей

В Татарстане ветерану СВО вручили первый автомобиль на ручном управлении

24.09.2024 22:43

В Казани вручили Международную премию им.Евгения Завойского

24.09.2024 22:41

Татарстанцам объяснили, как обезопасить себя от создания виртуального двойника

24.09.2024 22:38

В Татарстане пенсионерке на протяжении 4 лет начисляют фиктивные долги, сумма которых превышает 100 тыс. рублей

24.09.2024 22:34

Стали известны обстоятельства трагедии в Бугульме

24.09.2024 22:31

Татарстанские туроператоры дали рекомендации по планированию поездок во время саммита БРИКС

24.09.2024 22:27

В Казани в результате конфликта водителей автобусов пострадала пассажирка

24.09.2024 20:40

Эксперт рассказал, что для использования кредитных карт важно обладать самоконтролем

24.09.2024 20:25

В Госдуме призвали ужесточить ответственность за нарушение правил использования электросамокатов

24.09.2024 20:18

Депутатам Госсовета РТ могут ограничить выезд из России

24.09.2024 20:06

Минниханов и Трембицкий приняли участие в торжествах, посвященных 70-летию Приволжского управления Ростехнадзора

24.09.2024 19:32

В Агрызе вручили ордена Мужества семьям погибших бойцов СВО

24.09.2024 19:19

Власти Заинска встретились с бойцами СВО

24.09.2024 19:08

В Татарстане установили новые цены на продукты для сельхозярмарок

24.09.2024 18:44

Прокуратура Челнов выявила нарушения в работе местных автошкол

24.09.2024 18:13

В поликлиники казанской горбольницы №7 по нацпроекту поступило новое оборудование

24.09.2024 18:02

Житель Балтасинского района поймал щуку весом 12 кг

24.09.2024 17:40

КГМУ открыл новую кафедру в Альметьевской ММБ по специальности «Лечебное дело»

24.09.2024 17:28

В Казани ветерану СВО вручили автомобиль на ручном управлении

24.09.2024 17:22
Загрузить еще

Блог

Татарстанцы каждый день платят аферистам 15 млн рублей
Блог

В России разработали чат-бот для будущих мам с возможностью психологической поддержки

30.06.2024
Стоимость полного образа на выпускной в этом году составила от 15 тысяч рублей
Блог

Аналитики подсчитали стоимость выпускного для школьников в 2024 году

27.06.2024
Блог

Россиянам посоветовали не поздравлять друзей с днем рождения в соцсетях

22.06.2024
Рустам Минниханов: Важнейшая задача сохранение рабочих мест
Блог

Биолог сообщил, что испанские слизни очень опасны для растений

21.06.2024
Госкомитет РТ по туризму рассказал о пешеходной «Волжской тропе»
Блог

Россиянам дали советы, как правильно организовать поход

02.06.2024
ГТРК "Татарстан"

ГТРК "Татарстан", 420095, г.Казань, ул.Шамиля Усманова, 9

Телефон редакции:
8 (843) 528-25-59

Электронная почта редакции ГТРК:

vesti@trttv.ru




16+

«Государственный Интернет-Канал «Россия» (свидетельство о регистрации Эл № ФС 77-59166 от 22.08.2014, выдано Федеральной службой по надзору в сфере связи, информационных технологий и массовых коммуникаций)

Учредитель – федеральное государственное унитарное предприятие «Всероссийская государственная телевизионная и радиовещательная компания»

Главный редактор - Панина Елена Валерьевна, редактор ГТРК - Гималтдинов Фирдус Салихович

При любом использовании текстовых, аудио-, фото- и видеоматериалов ссылка на trt-tv.ru обязательна. При полной или частичной перепечатке текстовых материалов в интернете гиперссылка на trt-tv.ru обязательна. Для детей старше 16 лет.

На информационном ресурсе применяются рекомендательные технологии (информационные технологии предоставления информации на основе сбора, систематизации и анализа сведений, относящихся к предпочтениям пользователей сети "Интернет", находящихся на территории Российской Федерации)

© 2025 Государственная телерадиокомпания «Татарстан»

ГТРК "Татарстан"

ГТРК "Татарстан", 420095, г.Казань, ул.Шамиля Усманова, 9

Телефон редакции:
+7 (843) 554-32-01

Электронная почта редакции ГТРК:

vesti@trttv.ru



«Государственный Интернет-Канал «Россия» (свидетельство о регистрации Эл № ФС 77-59166 от 22.08.2014, выдано Федеральной службой по надзору в сфере связи, информационных технологий и массовых коммуникаций)

Учредитель – федеральное государственное унитарное предприятие «Всероссийская государственная телевизионная и радиовещательная компания»

Главный редактор - Панина Елена Валерьевна, редактор ГТРК - Гималтдинов Фирдус Салихович

При любом использовании текстовых, аудио-, фото- и видеоматериалов ссылка на trt-tv.ru обязательна. При полной или частичной перепечатке текстовых материалов в интернете гиперссылка на trt-tv.ru обязательна. Для детей старше 16 лет.

На информационном ресурсе применяются рекомендательные технологии (информационные технологии предоставления информации на основе сбора, систематизации и анализа сведений, относящихся к предпочтениям пользователей сети "Интернет", находящихся на территории Российской Федерации)

© 2025 Государственная телерадиокомпания «Татарстан»




16+


Нет результата
Посмотреть все результаты
  • Главная
  • ТВ
    • Россия 1
    • Россия 24
    • Проекты
  • О компании
    • О компании
    • История
    • Лица компании
  • Радио
    • Радио Татарстана
  • Перейти на новую версию сайта