Врачи РКБ удалили пациентке часть печени из-за редкого заболевания
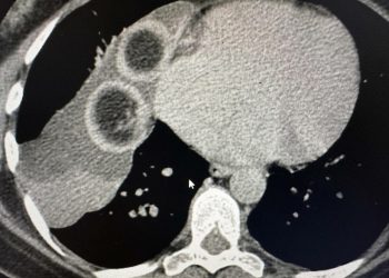
Дали шанс, когда надежды почти не осталось. Врачи РКБ практически совершили чудо. Они удалили часть печени, пораженную альвеококком, пациентке из ...
Дали шанс, когда надежды почти не осталось. Врачи РКБ практически совершили чудо. Они удалили часть печени, пораженную альвеококком, пациентке из ...
Хирурги из Республиканской клинической больницы спасли жизнь 31-летней жительнице Удмуртии, Евгении Афанасьевой, столкнувшейся с редким и опасным диагнозом — альвеококкоз ...
Военнослужащий из Чувашии получил серьезные ранения в зоне СВО в августе 2023 года в результате обстрела в одном из поселков ...
В поликлинике Республиканской клинической больнице проконсультировала более 200 тысяч пациентов в прошлом году. Главный врач Рафаэль Шавалиев сообщил об этом ...
В двух больницах Татарстана скоро появятся роботы-хирурги. Об этом сообщил Министр здравоохранения республики Марсель Миннуллин. Ожидается, что один из корейских ...
Медики Республиканской клинической больницы Татарстана впервые провели успешное стентирование трахеи у пациента, который столкнулся с проблемой сужения дыхательных путей из-за ...
Хирургические специалисты из отделения торакальной хирургии первой Республиканской клинической больницы Татарстана успешно провели операцию по удалению дермоидной кисты у пациентки. ...
В Татарстане 3 февраля скончалась медсестра отделения реанимации и интенсивной терапии №1 РКБ Алена Егорова. Об этом сообщили в пресс-службе ...
В Республиканскую клиническую больницу Татарстана доставили мужчину, на которого упали железные ворота. Об этом сообщили в пресс-службе клиники. 30-летний мужчина ...
Пациенты из разных концов Татарстана и из других регионов приезжают в Казань к врачу Николаю Решетникову. В год он проводит ...
Врачи Республиканской клинической больницы в Татарстане провели аутотрансплантацию костного мозга первым двум пациентам с миеломой. Об этом сообщили в пресс-службе ...
Огромный ком червей из печени девушки достали врачи РКБ. Об этом сообщает пресс-служба медицинского учреждения. Как стало известно, девушку доставили ...
ГТРК "Татарстан", 420095, г.Казань, ул.Шамиля Усманова, 9
Телефон редакции:
8 (843) 528-25-59
Электронная почта редакции ГТРК:
vesti@trttv.ru«Государственный Интернет-Канал «Россия» (свидетельство о регистрации Эл № ФС 77-59166 от 22.08.2014, выдано Федеральной службой по надзору в сфере связи, информационных технологий и массовых коммуникаций)
Учредитель – федеральное государственное унитарное предприятие «Всероссийская государственная телевизионная и радиовещательная компания»
Главный редактор - Панина Елена Валерьевна, редактор ГТРК - Гималтдинов Фирдус Салихович
При любом использовании текстовых, аудио-, фото- и видеоматериалов ссылка на trt-tv.ru обязательна. При полной или частичной перепечатке текстовых материалов в интернете гиперссылка на trt-tv.ru обязательна. Для детей старше 16 лет.
На информационном ресурсе применяются рекомендательные технологии (информационные технологии предоставления информации на основе сбора, систематизации и анализа сведений, относящихся к предпочтениям пользователей сети "Интернет", находящихся на территории Российской Федерации)
© 2025 Государственная телерадиокомпания «Татарстан»
ГТРК "Татарстан", 420095, г.Казань, ул.Шамиля Усманова, 9
Телефон редакции:
+7 (843) 554-32-01
Электронная почта редакции ГТРК:
vesti@trttv.ru«Государственный Интернет-Канал «Россия» (свидетельство о регистрации Эл № ФС 77-59166 от 22.08.2014, выдано Федеральной службой по надзору в сфере связи, информационных технологий и массовых коммуникаций)
Учредитель – федеральное государственное унитарное предприятие «Всероссийская государственная телевизионная и радиовещательная компания»
Главный редактор - Панина Елена Валерьевна, редактор ГТРК - Гималтдинов Фирдус Салихович
При любом использовании текстовых, аудио-, фото- и видеоматериалов ссылка на trt-tv.ru обязательна. При полной или частичной перепечатке текстовых материалов в интернете гиперссылка на trt-tv.ru обязательна. Для детей старше 16 лет.
На информационном ресурсе применяются рекомендательные технологии (информационные технологии предоставления информации на основе сбора, систематизации и анализа сведений, относящихся к предпочтениям пользователей сети "Интернет", находящихся на территории Российской Федерации)
© 2025 Государственная телерадиокомпания «Татарстан»